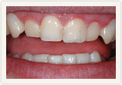
Composite Fillings
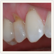
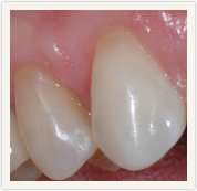
![]() |
![]() |
| Before Photo | After Photo |
Tooth colored fillings used to repair notches near the gum line. This type of filling often protects the tooth and reduces sensitivity.
Applied Procedures:
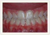
Composite Fillings
![]() |
![]() |
| Before Photo | After Photo |
Fractured tooth restored with tooth colored filling.
Applied Procedures:
Composite Fillings
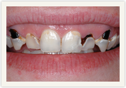
![]() |
![]() |
| Before Photo | After Photo |
Severe gum line decay. Repaired with composite bonding.
Applied Procedures:
Composite Fillings
![]() |
![]() |
| Before Photo | After Photo |
Worn and discolored front filling replaced using cosmetic bonding techniques.
Applied Procedures:
Composite Fillings
![]() |
![]() |
| Before Photo | After Photo |
Discolored older composites replaced with newer generation, more color stable, composite resin.
Applied Procedures:
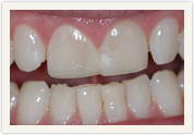
Composite Fillings
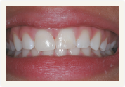
![]() |
![]() |
| Before Photo | After Photo |
Composite bonding was done on the front four teeth to idealize their shape and fill the gaps between them. Composite bonding is an affordable alternative to porcelain veneers and is frequently a better choice for young patients.
Applied Procedures:
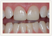
Composite Fillings
![]() |
![]() |
| Before Photo | After Photo |
cosmetic enhancement with composite resin



















