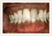
Porcelain Crowns
Applied Procedures:
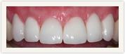
Porcelain Crowns
![]() |
![]() |
| Before Photo | After Photo |
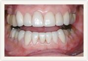
Applied Procedures:
Porcelain Crowns
![]() |
![]() |
| Before Photo | After Photo |
3M Lava crowns offering high strength and natural beauty.
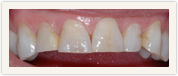
Applied Procedures:
Porcelain Crowns
![]() |
![]() |
| Before Photo | After Photo |
A single anterior crown and a few composite fillings create a major cosmetic transformation.
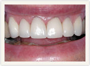
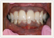
Applied Procedures:
Porcelain Crowns
![]() |
![]() |
| Before Photo | After Photo |
2 new crowns to allow better symmetry between central incisors.
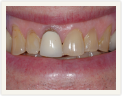
Applied Procedures:
Porcelain Crowns
![]() |
![]() |
| Before Photo | After Photo |
Applied Procedures:
Porcelain Crowns
![]() |
![]() |
| Before Photo | After Photo |
two new crowns on central incisors improving the smile.
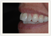
Applied Procedures:
Porcelain Crowns
![]() |
![]() |
| Before Photo | After Photo |
Two front crowns made to blend in with characterization of neighboring teeth.





















