Dental Bonding
![]() |
![]() |
| Before Photo | After Photo |
Tooth colored fillings used to repair notches near the gum line. This type of filling often protects the tooth and reduces sensitivity.
Applied Procedures:
Dental Bonding
![]() |
![]() |
| Before Photo | After Photo |
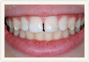
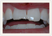
Broken front tooth. Restored with cosmetic bonding
Applied Procedures:
Dental Bonding
![]() |
![]() |
| Before Photo | After Photo |
Large chip on front tooth restored with composite resin.
Applied Procedures:
Dental Bonding
![]() |
![]() |
| Before Photo | After Photo |
Trauma to lip and teeth. Teeth restored with tooth colored composite fillings.
Applied Procedures:
Dental Bonding
![]() |
![]() |
| Before Photo | After Photo |
Fractured incisor restored with bonded resin composite.
Applied Procedures:
Dental Bonding
![]() |
![]() |
| Before Photo | After Photo |
![]() |
![]() |
| Before Photo | After Photo |
Smile make-over with composite resin bonding.



















